Skip to main content
Reliant Family Dental
Reliant
Family Dental
Reliant Family Dental
Reliant
Family Dental
Schedule an appointment
Like us on Facebook
Visit us on Yelp
Watch our Youtube Videos
Leave a Google Review
Instagram
Review us on Angie's List
(812) 402-7676
4827 Davis Lant Dr, Ste #G
Evansville, IN 47715
Menu
Call
Book Now
Map
Home
About
Our Team
Technology
Office Pictures
Services
View All
In-Office Teeth Whitening
Quality Dental Plan
Dentures & Partials
Dental Implants
Cosmetic Dentistry
Preventive Dentistry
Children's Dentistry
Treatment for Bruxism and TMJ
General Dentistry
Dental Crowns and Bridges
Endodontics
6 Month Smiles
Smile Gallery
Testimonials
Patient Info
View Patient Info
Forms
Financial
FAQs
Blog
Contact
Reliant Family Dental
>
Smile Gallery
>
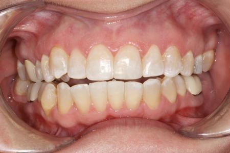
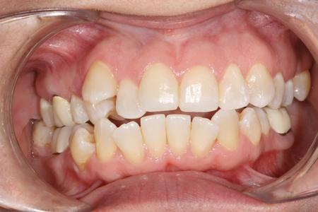
Crowded Teeth Fixed With Six Month Smiles
Crowded Teeth Fixed With Six Month Smiles
Return to Smile Gallery
Previous
Next
This patient came to us with quite a bit of crowding. After 7 months, this patient was happy to walk a way much more confidently with a happier smile. For more information on our treatments, please contact our dental office today!
Related Services:
Six Month Smiles
Before
After
Still need an appointment?
Contact Us
OK!
×
×
Contact Us Today
Give Us A Call
Reliant Family Dental -
(812) 402-7676
Send Us an Email
Schedule an appointment
Contact Us
Ready to Schedule an Appointment?
Book Now
Have Questions? Contact Us:
Full Name
* (Req)
Phone
* (Req)
Email
* (Req)
Are you a?
New Patient
Current Patient
How would you like us to contact you?
Please choose
Email
Call
How did you hear about us?
Please choose
I'm an existing patient
Google/Bing
Mailer
Word of mouth
Social media
Other
Who Referred You?:
Appointment Preferences
Monday
Tuesday
Wednesday
Thursday
Additional Comments
This site is protected by reCAPTCHA and the Google
Privacy Policy
and
Terms of Service
apply.
Required Field
Sending...
×
This Patient's Experience
Loading Testimonial...
Loading Case...